Рак мозга
Опухоли головного мозга отличаются от всех прочих. Они не дают отдаленных метастазов и не распространяются за пределы центральной нервной системы. Новообразования этой локализации не делятся на доброкачественные и злокачественные. Вместо этого им присваивается степень злокачественности от 1 до 4, исходя из гистологической структуры.
Нет и классических для большинства опухолей стадий рака мозга, основанных на размере новообразования, количестве и расположении метастатических очагов в лимфоузлах и органах. Выживаемость и используемые методы лечения определяются в первую очередь гистологическим типом опухоли. Некоторые виды рака головного мозга убивают большинство пациентов в течение первого года после установления диагноза и никогда не излечиваются. Другие имеют благоприятный прогноз, большинство больных успешно выздоравливают после операции или облучения.
Причины
Причины рака мозга не установлены. Установлено лишь несколько факторов риска, и большинство из них являются неконтролируемыми. Это радиационное облучение, наследственность, некоторые врожденные синдромы. Известно также, что риск первичных лимфом центральной нервной системы увеличивается при иммунодефиците, но доля этих опухолей в структуре новообразований головного мозга невысокая.

Симптомы
Клинические признаки опухолей такие же, как при поражении головного мозга любой другой этиологии (инфекционной, сосудистой, травматической и т. д.). Они делятся на общемозговые и очаговые. Общемозговые симптомы рака головного мозга:
головная боль;
тошнота;
рвота;
снижение остроты зрения;
головокружение;
эпилепсия;
нарушения сознания;
психические расстройства.
Очаговые симптомы зависят от того, какие именно отделы мозга повреждены опухолью. Могут возникать парезы и параличи, расстройства речи, письма, памяти и т. д.
На ранних стадиях рак головного мозга симптомов обычно не имеет. Их появление чаще всего свидетельствует о достижении опухолью крупных размеров.
Диагностика
Ранняя диагностика рака головного мозга теоретически возможна, но маловероятна. Скрининг (профилактическое обследование клинически здоровых лиц) проводят лишь пациентам из групп риска, имеющим отягощенную наследственность или генетические синдромы. Новообразование может быть выявлено при помощи КТ или МРТ мозга.
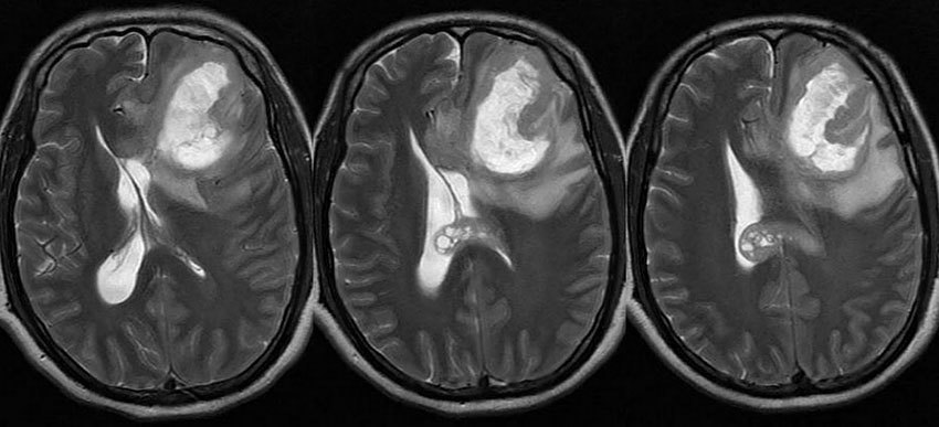
Большинство пациентов обращаются к врачу уже после появления первых симптомов рака мозга. Основным методом диагностики является МРТ. Именно эта методика позволяет получить детальное изображение всех структур мозга, выявить опухоли даже небольшого размера, предположить их гистологический тип ещё до проведения гистологического исследования.
Лечение
Основные способы лечения рака мозга:
классическая нейрохирургическая операция — предполагает трепанацию черепа и удаление опухоли;
эндоскопическая операция — предполагает введение инструментов и камеры через небольшие отверстия в черепе (выполняется при опухолях гипофиза, которые удаляют через нос, а также поверхностно расположенных новообразованиях некоторых отделов больших полушарий);
лазерная абляция опухолей под контролем МРТ;
радиохирургические методы — разрушение небольших опухолей точно направленными пучками радиации;
лучевая терапия;
химиотерапия;
таргетная терапия.
Прогноз
Иногда болезнь приводит к быстрой смерти пациента, в иных ситуациях возможно излечение: прогноз зависит от гистологического типа новообразования. Ещё одним значимым прогностическим фактором является возраст пациента. Показатели пятилетней выживаемости при некоторых типах рака мозга для пациентов от 55 до 64 лет:
анапластическая астроцитома — 14%;
глиобластома — 5%;
эпендимома — 86%;
менингиома — 71%.
Значительно лучше показатели для тех же гистологических типов, но среди молодых пациентов с раком мозга в возрасте от 20 до 44 лет:
анапластическая астроцитома — 54%;
глиобластома — 19%;
эпендимома — 92%;
менингиома — 87%.
Это общая статистика, не отражающая особенностей течения заболевания и используемых методов лечения. Онкология и нейрохирургия стремительно развивается, поэтому сегодня рак головного мозга у взрослых лечат более успешно, чем 7–10 лет назад.
Источники:
Измайлов Т.Р., Паньшин Г.Л., Даценко П.В. Опухоли головного мозга. Общие принципы современной диагностики и лечения // Поволжский онкологический вестник. 2010. №3.
Орлов Ю. А., Семенова В. М., Стайно Л. П. Оценка чувствительности глиальных опухолей мозга к воздействию темодала в цитотоксическом тесте // УНЖ. 2004. №2.
Яшин К. С., Медяник И. А. Иммунотерапия злокачественных опухолей головного мозга (обзор) // Соврем. технол. мед.. 2014. №4.