Рак печени
Рак печени, гепатоцеллюлярная карцинома - диагноз, который ставят при злокачественной опухоли печени. Все это относится к первичным опухолям печени, то есть опухоль образовалась из собственно клеток печени. Гораздо чаще встречается вторичное поражение органа - метастазы в печени из других органов и систем.
Симптомы рака печени
Рак печени на первых порах не проявляет себя никакими симптомами. Образование может быть случайной находкой в ходе диспансеризации или обследования по поводу другого заболевания. Злокачественную природу образования устанавливают после проведения биопсии и гистологического заключения.
Прогрессирующий процесс в тканях печени может проявлять себя следующими характерными симптомами:
тупые и ноющие боли в правом подреберье;
желтые кожные покровы и склеры глаз;
отеки конечностей и скопление свободной жидкости в брюшной полости (асцит);
общая слабость и признаки интоксикации организма;
снижение аппетита, в тяжелых случаях рвота;
лихорадка - повышение температуры тела
Стадии и прогноз
Стадию определяют с целью выбора тактики лечения.
Выделяют 4 стадии процесса:
I стадия - единичный очаг до 2 см без инвазии в кровеносные сосуды. Такая опухоль считается операбельной. Прогноз наиболее благоприятный.
II стадия - единичный очаг до 5 см или несколько (не более трех) очагов. Распространения в сосуды нет. Очаги могут быть удалены хирургическим методом. А так же методам радиочастотной абляции. Прогноз благоприятный.
III стадия - одно или несколько образований больше 5 см. Есть прорастание в лимфатические или кровеносные сосуды. Хирургический метод лечения в данном случае не показан. Применяют химиоэмболизацию или лучевую терапию. Прогноз сомнительный.
IV стадия - множественные очаги разных размеров с прорастанием в сосуды и распространением в лимфатические узлы или соседние ткани. Основной метод - химиотерапия. Прогноз неблагоприятный.
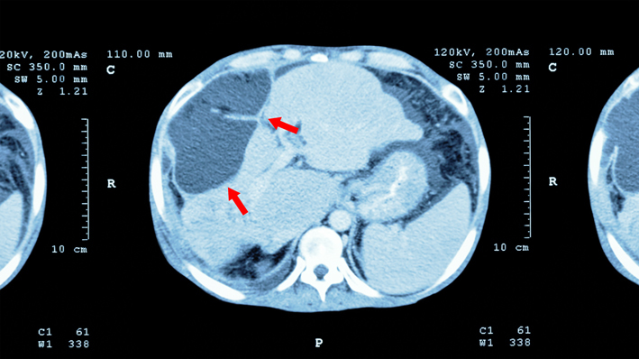
Диагностика рака печени
Диагностика рака печени обычно включает в себя несколько этапов.
1. Медицинский осмотр и анамнез, в течение которого врач беседует с пациентом о его симптомах и общем состоянии здоровья.
2. лабораторные исследования, включая анализ крови и биопсию печени.
3. инструментальные методы диагностики, такие как ультразвук, компьютерная томография (КТ) или магнитно-резонансная томография (МРТ) с контрастом или без, которые позволяют врачу визуализировать орган и обнаружить новообразование.
После сбора всей этой информации, врач может поставить диагноз и предложить план лечения.
Лечение рака печени
Лечение рака печени в последние годы претерпело существенные изменения за счёт внедрения инновационных подходов, существенно увеличивающих продолжительность жизни пациентов, но радикальный способ остался прежним — операция. Как и при большинстве злокачественных новообразований избавить от заболевания способна только адекватная хирургия, в помощь ей — химиотерапия, но с очень ограниченным спектром действенных лекарственных препаратов.
Мнение эксперта, врача - онколога: рак печени, пожалуй, одно из самых опасный онко заболеваний. ежедневно мы принимаем пациентов как с первичным раком печени, так и с вторичными метастатическими поражениями и сопутствующими им осложнениями, например механической желтухой. Квалификация абдоминальных хирургов позволяет нам успешно проводить резекции печени, абляции и химиоэмболизации, стентирование и дренирование. В обязательном порядке мы привлекаем к лечению наших лучших химиотерапевтов. Мы знаем, как помочь.
Операция при раке печени
Радикальная операция при гепатоцеллюлярном раке печени возможна при небольшом и одиночном опухолевом узле или нескольких маленьких — до 3 см, но кучно располагающихся в одной доле печени. Печеночная ткань обладает редкой способностью к восстановлению, после удаления почти 70% органа через некоторое время объём печени полностью восстанавливается.
Восстановление утраченных в результате операции печёночных долек возможно только при здоровой печени, не страдающей хроническим гепатитом или циррозом и полностью выполняющей свои многообразные функции. Вопросы оперативного лечения рака зависят от состояния здоровья органа. Наличие выраженного цирроза может стать абсолютным противопоказанием для хирургии даже при небольшом злокачественном новообразовании.

Отдалённые метастазы печеночной карциномы в других органах, равно как и распространение ракового конгломерата на сосуды ворот печени или опухолевый тромб в воротной вене обозначены как абсолютное противопоказание к хирургическому лечению.
Невозможно оперативное лечение при асците — образовании в брюшной полости избыточного количества жидкости, и не важно, чем это вызвано: нарушением ли работы сердечно-сосудистой системы, тяжёлым циррозом или метастазами на выстилающей брюшную полость брюшине. Асцит свидетельствует о декомпенсации функциональных возможностей органа, в такой клинической ситуации прибегают к консервативной терапии с эвакуацией выпота.
Какие операции выполняются?
Радикальных вмешательств при гепатоцеллюлярной карциноме только два:
Удаление части печеночной ткани — резекция;
Полное удаление печени с одномоментной трансплантацией донорского органа.
Трансплантация печени не проводится по экстренным показаниям, это плановый процесс, требующий серьёзной подготовки и поиска донора, что растягивается на месяцы, которых у больного гепатоцеллюлярным раком может не быть.

Резекция — щадящая по объёму удаляемых тканей операция, тем не менее, она невозможна при имеющемся у пациента циррозе или фиброзе печени, когда почти исключается возможность послеоперационного восстановления, к сожалению, существенную недостаточность печеночной функции пока не научились адекватно компенсировать.
Во всех случаях доступ к больному органу осуществляется через брюшную стенку в правом подреберье. Сегодня можно выполнить резекцию щадящим лапароскопическим доступом через несколько проколов брюшной стенки и под контролем оптического оборудования. Этой инновационной и технически сложной манипуляцией владеют немногие российские хирурги, но у специалистов нашей клиники достаточный опыт высокотехнологичной эндоскопической хирургии и онкохирургии.
Радиочастотная абляция (РЧА), криодеструкция и химиоэмболизация опухоли в печени
В некоторых случаях возникают сомнения в возможности технического выполнения резекции печени, к примеру, при нескольких раковых узлах небольшого размера — до 3–5 см каждый. Стандарты лечения предлагают комбинировать резекцию органа с локальными методами уничтожения злокачественной ткани.
Технология локальной манипуляции заключается в подведении к новообразованию физического фактора, вызывающего гибель клеток с последующим замещением погибшей печеночной паренхимы соединительной тканью с формированием рубца.
В качестве «убийственного» компонента, вводимого внутрь опухоли специальной иглой под контролем УЗИ, используются:
жидкий азот — процесс называется «криодеструкция»;
высокочастотные токи — радиочастотная абляция (РЧА);
пучок лучевой энергии — стереотаксическое облучение.
Заключённые в микроскопические капсулы изотопы иттрия или химиопрепараты в составе жировой эмульсии тоже подводят к раковому конгломерату, но уже не просто в опухоль, а по вставленному в питающую рак крупную артерию катетеру, процесс называется трансартериальная радиоэмболизация (ТАРЭ) или химиоэмболизация (ТАХЭ).
При любом локальном воздействии для хорошего конечного результата может потребоваться несколько манипуляций.
В клинике широко используются локальные методики лечения первичного гепатоцеллюлярного рака, в каждом случае разрабатывается индивидуальная терапевтическая стратегия, иногда с сочетанием нескольких локальных методов, но во всех ситуациях — оптимальная для пациента.
Химиотерапия
Все локальные методики, включая химиотерапию, могут применяться совершенно самостоятельно при первичном раке печени менее 3 см, когда пациент по состоянию здоровья не способен перенести объёмную операцию, при рецидиве после резекции и метастазах в печени — IV стадии. Клинические исследования показали их хорошую переносимость и долговременный результат при приличном качестве жизни пациента.

Перечисленные вмешательства не относятся к широко использующимся, потому что помимо дорогостоящего оборудования требуют уникальных специалистов с «золотыми руками» и прекрасным профессиональным образованием, в нашей клинике вы обязательно будете проконсультированы мастером высочайшего хирургического уровня, владеющим уникальной методикой локального хирургического и химиотерапевтеческого лечения.
Возможности лекарственного лечения — химиотерапии при раке печени ограничены, тем не менее, они могут потребоваться. Печень выполняет множество функций, её болезнь нарушает нормальную биохимию всех процессов жизнедеятельности, поэтому без регулярной реабилитационной поддержки и симптоматической терапии тяжелое противоопухолевое лечение невозможно провести без потерь.
Прогноз и профилактика
Профилактика рака печени включает в себя много различных аспектов. Во-первых, это регулярные медицинские проверки, которые помогают обнаружить заболевание на ранней стадии, когда его еще можно эффективно лечить.
Во-вторых, это поддержание здорового образа жизни. Здоровое питание и регулярная физическая активность способствуют общему укреплению организма, улучшению работы печени и снижению риска развития рака.
В-третьих, важно избегать потребления алкоголя или употреблять его в умеренных количествах, так как избыточное потребление алкоголя может привести к развитию цирроза печени и, как следствие, рака печени.
В-четвертых, рекомендуется проведение вакцинации против гепатита B, который является одним из основных факторов риска развития рака печени. Эта вакцинация является особенно важной для людей, находящихся в группе риска по этому заболеванию.
На портале Докио можно найти клиники, где каждому пациенту подбирают индивидуальную программу сопроводительной терапии, облегчающую противоопухолевое лечение и направленную на улучшение качества и продолжительности жизни.
Источники:
Щукина О. Е. Ультразвуковая диагностика рака печени // Саратовский научно-медицинский журнал. 2014. №1.
Подымова С. Д. Болезни печени. М.: Медицина, 2006; 554 с.
Терновой С. К., Васильев А. Ю., Синицын В. Е., Шехтер А. И. Лучевая диагностика и терапия. М.: Медицина, 2008.
Мерабишвили В. М., Мерабишвили Э. Н., Чепик О. Ф. Эпидемиология рака печени // Российский онкологический журнал. 2014. №4.