Перстневидноклеточный рак
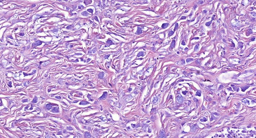
Перстневидноклеточный рак — гистологический тип злокачественных опухолей. Он получил свое название из-за характерного внешнего вида раковых клеток под микроскопом: большую часть клетки занимают вакуоли (пузырьки), заполненные муцином (слизью). При этом клеточное ядро оттеснено к периферии.
Наиболее распространен перстневидноклеточный рак желудка. Намного реже встречается перстневидноклеточный рак кишечника, молочной железы, поджелудочной железы, легкого, мочевого пузыря.
Перстневидно-клеточные карциномы — разновидность аденокарцином, злокачественных опухолей из железистых клеток. Они являются низкодифференцированными, то есть опухолевые клетки утрачивают черты нормальных, между ними исчезают плотные контакты, утрачиваются межклеточные взаимодействия. Такие злокачественные опухоли быстро прогрессируют, рано метастазируют, отличаются менее благоприятным прогнозом по сравнению с другими видами рака.
Почему развивается перстневидноклеточный рак?
Любая злокачественная опухоль развивается из-за генетических нарушений, которые возникают в клетке. В настоящее время ученым известны некоторые молекулярные механизмы, которые приводят к развитию перстневидноклеточного рака.
В клетках высокодифференцированной аденокарциномы активируется комплекс ErbB2/ErbB3 (рецепторы эпидермального фактора роста — молекулы, которые находятся на поверхности клетки и активируют ее размножение). Затем происходит активация фосфатидилинозитол-3-киназы (PI3K) — фермента, играющего важную роль в молекулярном сигнальном пути, который активирует размножение клеток и защищает их от апоптоза — запрограммированной клеточной смерти. Далее активируются ферменты p38 MAP-киназа и Rac1, в итоге нарушаются межклеточные взаимодействия.
В результате активации PI3K усиливается выработка муцинов — основного компонента секрета слизистых желез. Один из них, Muc4, активирует ErbB2. В норме эти два вещества разделены, но при перстневидноклеточном раке они взаимодействуют, замыкается порочный круг. Между клетками утрачиваются контакты, они быстро, бесконтрольно размножаются и производят много слизи.
Вероятность развития перстневидноклеточного рака повышают те же факторы риска, что и при всех гистологических типах опухолей в целом, развивающихся в том или ином органе. Например, в случае со злокачественными опухолями желудка это будут: инфекция Helicobacter pylori, большое количество копченых, маринованных, соленых мяса и рыбы в рационе, курение, лишний вес, отягощенный семейный анамнез, некоторые наследственные заболевания.
Стадии
Принципы стадирования те же, что и при любых злокачественных опухолях в том или ином органе. Оценивают размеры и глубину прорастания первичной опухоли (T), наличие очагов в регионарных лимфатических узлах (N), отдаленных метастазов (M).

Стадии перстневидноклеточного рака желудка:
| T0 | Первичная опухоль не обнаруживается. |
| Tis | «Рак на месте» — злокачественная опухоль в пределах самого поверхностного слоя слизистой оболочки. |
| T1 | Опухоль прорастает в собственную или мышечную пластику слизистой оболочки, подслизистый слой. |
| T2 | Опухоль проникает в мышечную оболочку стенки желудка. |
| T3 | Злокачественная опухоль прорастает через всю толщу стенки желудка, но не прорастает в брюшину — тонкую оболочку из соединительной ткани, покрывающую орган снаружи. |
| T4 | Злокачественная опухоль прорастает в брюшину и соседние структуры. |
| N0 | Нет опухолевых очагов в близлежащих регионарных лимфоузлах. |
| N1 | Опухолевые очаги в 1–2 регионарных лимфоузлах. |
| N2 | Опухолевые очаги в 3–6 регионарных лимфоузлах. |
| N3 | Опухолевые очаги в 7 и более регионарных лимфоузлах. |
| M0 | Отсутствуют отдаленные метастазы. |
| M1 | Перстневидноклеточный рак с метастазами. |
Стадия 0: рак «на месте» (TisN0M0).
Стадия 1: Злокачественная опухоль прорастает только в слизистую оболочку и мышечный слой, либо не прорастает в мышечный слой, но есть очаги в 1–2 регионарных лимфоузлах (T1N0M0, или T2N0M0, или T1N1M0).
Стадия 2: опухоль прорастает в мышечный слой, и имеются очаги в регионарных лимфоузлах, либо опухоль прорастает через всю толщу стенки органа, и очаги в лимфатических узлах отсутствуют.
Стадия 3: опухоль может прорастать через всю толщу стенки органа, поражены регионарные лимфатические узлы.
Стадия 4: имеются отдаленные метастазы.

Методы лечения
Перстневидноклеточный рак желудка лечится так же, как и другие гистологические типы злокачественных опухолей этого органа. С данным типом рака сложно бороться: он отличается более агрессивным течением, неблагоприятным прогнозом, хуже отвечает на химиотерапию и лучевую терапию.
При I–III стадиях перстневидноклеточного рака желудка основным методом лечения является операция. Обычно выполняют один из двух видов хирургических вмешательств:
Субтотальная резекция — удаление большей части желудка в нижнем отделе.
Гастрэктомия — удаление всего желудка.
Кроме того, удаляют регионарные лимфатические узлы, проверяют, есть ли в них опухолевые очаги. Нередко хирургическое вмешательство дополняют курсом неоадъювантной (до операции) или адъювантной (после операции) химиотерапии. Это помогает облегчить удаление злокачественной опухоли и предотвратить рецидив. Если опухоль не была полностью удалена во время операции, или получен позитивный край резекции (при исследовании под микроскопом рядом с линией разреза обнаружены опухолевые клетки), или было удалено недостаточное количество лимфатических узлов, может быть назначена химиотерапия в сочетании с лучевой терапией.
При неоперабельной злокачественной опухоли на стадиях I–III, либо, если пациенту противопоказана операция, назначают химиотерапию, лучевую терапию, химиолучевую терапию.
При IV стадии перстневидноклеточного рака желудка, когда имеются отдаленные метастазы, болезнь неизлечима, но врачи могут назначить лечение, которое поможет уменьшить симптомы и замедлить прогрессирование заболевания:
При непроходимости желудка проводят паллиативные операции: шунтирование, субтотальную резекцию, стентирование.
Химиотерапия и лучевая терапия обычно применяются в сочетании. При раке желудка используют комбинации химиопрепаратов с разными механизмами действия, но в настоящее время неизвестно, какие комбинации работают лучше всего.
Таргетную терапию проводят, если рак желудка является HER2-положительным. Применяют таргетный препарат Трастузумаб (Герцептин). В некоторых случаях показан таргетный препарат Рамуцирумаб (Цирамза).
У некоторых пациентов проводят иммунотерапию препаратом Пембролизумаб (Кейтруда).
Прогноз при перстневидноклеточном раке
В целом перстневидноклеточный рак несколько ухудшает прогноз для пациента. Он ведет себя агрессивнее и сложнее поддается лечению по сравнению с другими гистологическими типами опухолей. Очень сильно прогноз зависит от того, на какой стадии диагностировано заболевание. Так, при локальном раке желудка (только первичная опухоль без очагов в лимфоузлах и отдаленных метастазов) пятилетняя выживаемость составляет 69%, а при метастатическом — всего 5%. Играют роль и другие факторы.
Благодаря возможностям современной онкологии помощь пациенту возможна при любой стадии перстневидноклеточного рака. Даже если болезнь неизлечима, часто удаётся замедлить её развитие, уменьшить симптомы и продлить жизнь. На портале Докио можно найти клиники, где для этого применяются современные препараты.
Источники:
Сальникова М. М., Геворкян Ю. А., Кузнецова М. С., Малейко М. Л., Гречкин Ф. Н., Ильченко С. А. Современные подходы к лечению перстневидноклеточного рака желудка // Сибирский онкологический журнал. 2010. №Приложение1.
Непомнящая Е. М., Кириченко Ю. Г., Гаврилова М. А. Особенности морфологической картины перстневидноклеточного рака желудка // Сибирский онкологический журнал. 2009. №S2.
Неред С. Н., Клименков А. А., Перевощиков А. Г. Клинико-морфологические особенности перстневидноклеточного рака желудка // Вестн. РОНЦ им. Н. Н. Блохина РАМН. 2004. №3.