Хордома
Хордома редкая и агрессивная злокачественная опухоль, чаще всего черепа и позвонков. Отдельным новообразованием хордому признали только в 2000 году, а впервые описали в начале прошлого века, с того времени она считалась вариантом костной саркомы. Злокачественное новообразование развивается из клеток-предшественников у одного из миллиона человек, хордому сложно обнаружить и очень непросто лечить.
Причины
Хордома берет начало из клеток спинной струны зародыша — нотохорды, аналогичной хорде у животных и тоже поддерживающей зародышевый скелет. К концу второго месяца беременности нотохорда исчезает, но в организме могут оставаться её клетки, как правило, в затылочной области и позвонках, предполагается, что при неблагоприятном стечении биологических обстоятельств именно они становятся хордомой.
Примечательно, что у детишек опухоль развивается очень редко — не более 10% от всех случаев, у пожилых встречается вдвое реже. Преимущественно новообразование находят у 40-летних, то есть на злокачественное перерождение клеткам нотохорды отводится несколько десятилетий.
Хордома входит в группу костных сарком, предполагают, что она может развиться после радиоактивного облучения или длительного контакта с вредными химическими агентами, но доказательств этого пока не обнаружено.
Не отслеживается передачи заболевания по наследству, хордома возникает сама по себе — спонтанно из «спящих» остатков нотохорды.
В клетках хордомы находят обильные и разнообразные хромосомные нарушения. Точно известно, что поводом для развития злокачественной опухоли из оставшихся с зародышевого периода клеток нотохорды становятся генетические аномалии, в результате которых в белке brachyury (короткий хвост, если переводить дословно) изменяется положение одного из 436 нуклеотидов. Нормальный белок brachyury отвечает за подвижность клеток и формирование межклеточных связей, поломка в нём пятикратно повышает вероятность озлокачествления клеток нотохорды.
Виды
Все хордомы агрессивны, но по клеточной — морфологической структуре их разделяют на три типичных варианта:
классическая хордома самая частая — семь из десяти случаев, причём этот тип имеет разную агрессивность, поэтому дополнительно различают классическую высокой дифференцировки, то есть относительно доброкачественно текущую, средней и самую злую — низкодифференцированную;
хондроподобная — каждый четвёртый клинический случай, под микроскопом схожа с хрящевыми новообразованиями;
недифференцированная — самая редкая, едва ли 5% случаев, но самая агрессивно текущая — бурно растущая, рано и обильно метастазирующая.
Внешне опухоль довольно мягкая, покрыта капсулой, а внутри разделена на дольки.
Стадирование по классификации TNM проводится как при костных саркомах.

В группу костных сарком входит около тридцати различных по строению опухолей, требующих индивидуальных подходов к лечению. Отличить одно новообразование от другого и провести корректное лечение способны только клиники с высокой специализацией и значительным опытом, найти которые можно на портале Докио.
Симптомы
Клинические проявления хордомы обусловлены её расположением и синтезом клетками биологически активных продуктов. Локализация новообразования «отвечает» за местные симптомы: интенсивность и время появления боли, выраженность деформации, сдавление и прорастание окружающих анатомических структур. В большинстве случаев опухоль поражает основание черепа — у места его соединения с шейными позвонками, реже располагается в верхних отделах позвоночника.
При сдавлении нервных стволов, в том числе спинного мозга, появляется постоянная боль и разнообразные неврологические симптомы ниже места расположения опухоли, как двигательные, так и изменения чувствительности.
При хордоме основания черепа, кроме хронической головной боли, превалируют нарушения, обусловленные травмой выходящих через черепные отверстия черепно-мозговых нервов. Может измениться голос, нарушиться глотание, из-за увеличения объема опухоли и сдавления внутренней ветви яремной вены повышается внутричерепное давление с головокружениями и рвотой при изменении положения головы, двоением в глазах, заторможенностью.
При хордоме позвоночника с вовлечением спинномозгового канала развиваются прогрессирующие до паралича парезы, фактически лишающие больного способности двигаться, а первыми симптомами могут быть нарастающая эректильная дисфункция, онемение кожи или ползание «мурашек», извращение чувствительности — гиперестезии.
Выработка злокачественными клетками биологически-активных веществ приводит к системному изменению метаболизма, что проявляется хронической анемией, образованием тромбов, сбоем иммунитета. Нарастающая опухолевая интоксикация, повышение внутричерепного давления с периферическими неврологическими симптомами сопровождаются снижением веса и формированием синдрома анорексии-кахексии.
В большинстве случаев ведущая жалоба, заставляющая обратиться за медицинской помощью — боль и неврологические проявления.
Диагностика
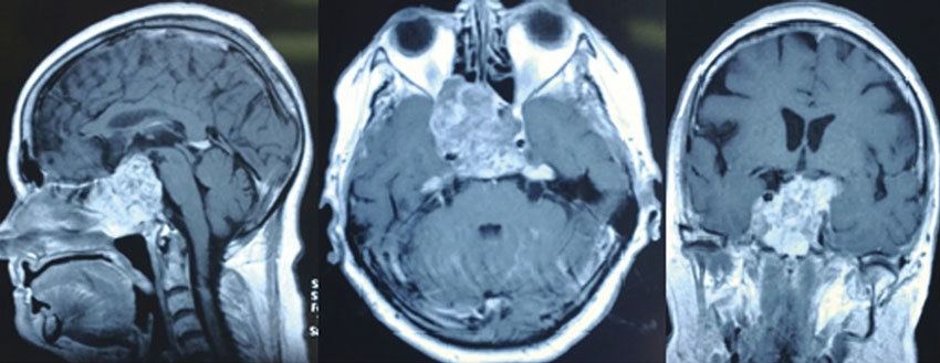
В большинстве случаев поводом для обследования становятся жалобы пациента на головные боли или неврологические нарушения. Ведущий метод диагностики — МРТ с контрастированием, достаточно точно характеризующая внутреннее строение новообразования и взаимоотношения с окружающими структурами.
Биопсия желательна, но не всегда возможна при опухоли основания черепа. Предпочтительна трепанобиопсия — пункция специальной толсто иглой, как запасной вариант — открытая биопсия во время операции.
Для клеток хондромы характерно присутствие белка brachyury, который обнаруживается при ИГХ анализе в биопсированной или удаленной опухоли. При ИГХ с помощью антител в опухолевых клетках обнаруживают цитокератины. Эти дополнительные морфологические характеристики позволяют поставить точный гистологический диагноз, но, к сожалению, пока не ясно их практическое, для подбора оптимальной терапии, и прогностическое значение.
Методы лечения
Ведущий метод лечения злокачественных новообразований костей — хирургический, но при хордоме операция не всегда возможна из-за типичной локализации в основании черепа, где располагается отвечающий за жизненно важные функции продолговатый мозг и проходят черепно-мозговые нервы, в том числе блуждающий нерв. Чувствительность к лучевой терапии и противоопухолевым лекарствам оставляет желать лучшего, тем не менее, хирургическая резекция опухоли должна дополняться локальным облучением зоны операции.
Достигнут нейрохирургический консенсус по объему удаляемых опухолевых тканей: резецируется максимальный объем опухоли при прогнозировании минимальных послеоперационных неврологических последствий, что технически выполнить очень и очень сложно. При возможности новообразование удаляют за один раз, если не получается сразу, то прибегают к поэтапной операции.
При неоперабельной хордоме используется стереотаксическая лучевая терапия, дополняемая химиотерапией с применением таргетных препаратов. Экспериментальные исследования показали хорошую чувствительность хордомы к фотодинамической терапии.
Комбинированное лечение с применением радикальной хирургии и послеоперационного облучения результативнее химиолучевой терапии, тем не менее таргетные препараты хоть и редко приводят к полной регрессии новообразования, но повышают пятилетнюю выживаемость при хордоме до 65%.
Для небольших хордом характерна выраженная симптоматика. Радикальное оперативное лечение спасает жизнь, но может вызвать серьёзные неврологические осложнения. Найти оптимальный баланс можно в клиниках, представленных на портале Докио, где работает команда высококвалифицированных специалистов.
Список литературы
Сидоркин Д.В., Коновалов А.Н., Махмудов У.Б. и др. /Топографические варианты краниальных хордом // Вопросы нейрохирургии им. Н. Н. Бурденко; 2009, № 3.
Shalaby A., Presneau N., Ye H., et al. /The role of epidermal growth factor receptor in chordoma pathogenesis: a potential therapeutic target// J Pathol.; 2011; 223(3).
Stacchiotti S., Sommer J. /Chordoma Global Consensus Group. Building a global consensus approach to chordoma: a position paper from the medical and patient community// Lancet Oncol.; 2015; 16(2).
Whelan J.S., Davis L.E. /Osteosarcoma, chondrosarcoma, and chordoma// J Clin Oncol.; 2018; 36(2).