Лор-онколог: консультация, лечение
ЛОР-онколог — это врач, который одновременно специализируется в сфере онкологии и отоларингологии. Он занимается диагностикой и лечением злокачественных опухолей головы и шеи. В эту группу, в частности, входит рак ротовой полости, носа и его придаточных пазух, глотки, гортани, слюнных желез.
Рак головы и шеи составляет около 4% от всех онкологических заболеваний. Чаще всего такие злокачественные опухоли диагностируют у людей в возрасте 50 лет и старше. В 85% случаев рак головы и шеи связан с табакокурением, в 75% случаев — с курением и употреблением алкоголя.
Если вы ищете ЛОРа-онколога в Москве, воспользуйтесь возможностями портала Докио. Здесь можно найти клиники, где специалисты оказывают пациентам все виды медицинской помощи.
Ведут первичный прием.
Составляют программу обследования, которое помогает уточнить диагноз.
Выполняют необходимые диагностические процедуры с применением современного оборудования.
Выполняют хирургические вмешательства любой сложности в отлично оснащенной операционной.
Составляют схемы химиотерапии в соответствии с современными протоколами.
Проводят паллиативную терапию, которая помогает справиться с мучительными симптомами и продлить жизнь пациента.
С какими симптомами обращаются к этому врачу?
К отоларингологу-онкологу приходят на прием люди с симптомами, которые могут свидетельствовать о злокачественных опухолях ЛОР-органов:
Рак ротовой полости: пятно на слизистой оболочке, языке красного или белого цвета, отек челюсти (люди, которые носят съемные зубные протезы, могут замечать, что их стало сложнее надевать, возникает дискомфорт), боли, кровотечения во рту.
Рак глотки: боль и затруднения во время глотания, проблемы с речью, дыханием, боль в шее или горле, которая долго не проходит, головные боли, шум в ушах, ухудшение слуха.
Рак гортани: боль в горле во время глотания, боль в ухе.
Рак слизистой оболочки носа и околоносовых пазух: хронический насморк, частые инфекции, против которых почти неэффективны антибиотики, носовые кровотечения, частые головные боли, отеки, припухлость на лице, боль в верхних зубах, проблемы с ношением зубных протезов.
Рак слюнных желез: хронические боли в области лица, шеи, подбородка, отек в области нижней челюсти, онемение лица, нарушение функций мимических мышц.

Как правило, если у человека возникают похожие проявления, первым делом он обращается к обычному ЛОР-врачу или стоматологу. Если имеется подозрение на онкологическое заболевание, доктор направляет пациента к специалисту в области онкологии.
Важно понимать, что ни один из перечисленных симптомов не является специфическим, то есть не свидетельствует однозначно о том, что у человека рак. Чаще всего, такие проявления встречаются при
патологиях, не имеющих отношения к онкологии, например, воспалительных процессах, инфекциях. Но посетить врача и провериться нужно в любом случае, причем, как можно быстрее. Если все же окажется, что симптомы вызваны
злокачественной опухолью, лечение должно быть начато как можно раньше, от этого зависит прогноз.
Как проходит прием у врача?
Во время первичного приема отоларинголог-онколог расспрашивает пациента о его жалобах, уточняет, когда они появились, как менялись со временем. Затем врач осматривает полость носа, рта, язык, горло, ощупывает шею, чтобы выявить возможные узлы, уплотнения, увеличенные лимфатические узлы.
Для более детального осмотра патологических образований в отоларингологии широко применяют эндоскопию. Процедуры будут называться по-разному, в зависимости от исследуемого органа: фарингоскопия (глотка), ларингоскопия (гортань), назофарингоскопия (носоглотка). Эндоскопия, во время которой исследуют разные ЛОР-органы, называется панэндоскопией.

Для того чтобы подтвердить диагноз или достоверно исключить злокачественное новообразование, проводят биопсию, нередко прямо во время эндоскопии. Врач удаляет фрагмент опухолевой ткани и отправляет в лабораторию, где ее изучают под микроскопом. Зачастую, при подозрении на рак ЛОР-органов выполняют аспирационную биопсию: в новообразование или увеличенный лимфатический узел вводят полую иглу и буквально высасывают образец ткани с помощью шприца.
Если по результатам биопсии в образце ткани обнаружены раковые клетки, диагноз злокачественной опухоли не вызывает сомнений. Но для того чтобы назначить правильное лечение, этого мало. Нужно оценить стадию опухоли, проверить, насколько сильно она распространилась в организме. В этом помогают дополнительные виды диагностики:
Панорамная рентгенография верхней и нижней челюстей.
Ультразвуковое исследование области шеи.
Компьютерная томография.
Магнитно-резонансная томография.
Рентгенография костей (для диагностики костных метастазов).
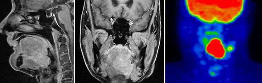
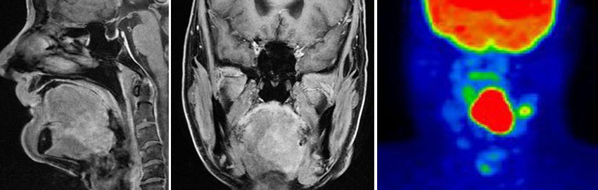
Позитронно-эмиссионная томография (ПЭТ-сканирование) — одно из самых информативных исследований, которое помогает обнаруживать отдаленные метастазы. Во время процедуры в организм пациента вводят радиофармпрепарат — специальное слабое радиоактивное соединение, которое накапливается в раковых клетках.
Затем делают снимки с помощью ПЭТ-томографа, и на них хорошо видны все опухолевые очаги. Для большей информативности ПЭТ выполняют параллельно с компьютерной томографией и совмещают снимки — такое исследование называется ПЭТ-КТ.

Методы лечения опухолей ЛОР-органов
Программу лечения опухолей ЛОР-органов всегда составляет команда специалистов, в которую могут входить: отоларинголог-онколог, клинический онколог, хирурги, химиотерапевт, врач лучевой терапии (радиотерапевт) и др.
В зависимости от локализации, типа, стадии злокачественной опухоли и некоторых других факторов, применяются различные виды лечения, нередко в комбинациях друг с другом:
Хирургическое удаление опухоли зачастую является основным методом лечения, если рак диагностирован на ранней стадии и является операбельным. Некоторым пациентам показаны паллиативные операции, например, при нарушении прохождения воздуха, пищи.
Химиотерапия может применяться как дополнение к хирургическому удалению опухоли или в качестве самостоятельного, основного метода при запущенном неоперабельном раке.
Лучевая терапия также может дополнять операцию или применяться отдельно.
Таргетные препараты прицельно воздействуют на определенные молекулы-мишени, которые помогают опухолевым клеткам бесконтрольно размножаться, поддерживать жизнедеятельность.
Иммунотерапия — наиболее современное и перспективное направление в лечении злокачественных опухолей.
Иммунопрепараты из группы ингибиторов контрольных точек блокируют молекулы, которые снижают активность иммунной системы, мешают ей обнаруживать и уничтожать опухолевые клетки. Лекарство заставляет бороться с раком собственный иммунитет человека. Ценность ингибиторов контрольных точек особенно высока на поздних стадиях рака ЛОР-органов. Они могут быть эффективны, если было неуспешным лечение другими противоопухолевыми препаратами.
Паллиативное и поддерживающее лечение: борьба с болью, нарушением глотания, дыхания и другими симптомами, контроль и коррекция нутритивного статуса, реабилитационные мероприятия и пр.
Врачам ЛОР-онкологам в клиниках, представленных на портале Докио, доступны все группы препаратов, включая современные, недавно одобренные в России. Специалисты оказывают помощь пациентам с опухолями головы и шеи на любой стадии. Лечение проводится в соответствии с актуальными версиями международных протоколов.
Стоимость консультации ЛОРа-онколога в клиниках, представленных на портале Докио, начинается от 3 700 рублей. Пациентов принимают врачи с большим опытом работы. На портале Докио можно выбрать клинику, где проводят обследование на современном диагностическом оборудовании и предоставляют все необходимые виды лечения.