Выскабливание при гиперплазии эндометрия
Что такое гиперплазия эндометрия? Какие бывают виды гиперплазии?
Гипреплазия эндометрия — избыточное разрастание, утолщение слизистой оболочки матки.
Различают следующие виды гиперплазии:
железистая (чаще у относительно молодых женщин);
фиброзная (у женщин в период менопаузы);
атипическая, которая является предраковым процессом и ведет к раку эндометрия.
Причины и факторы риска возникновения гиперплазии?
Непосредственные причины гиперплазии эндометрия — гормональный дисбаланс (т.н. относительная или абсолютная гиперэстрогения), хронический инфекционно-воспалительный процесс в матке (эндометрит) и травматизация эндометрия после внутриматочных вмешательств (аборты, выскабливания). Факторы риска, ведущие к указанным причинам — любая эндокринная патология (сахарный диабет, заболевания щитовидной железы, надпочечников и пр.), инфекции, передаваемые половым путем, раннее начало половой жизни, нереализованная репродуктивная функция, осложненные роды, наличие в анамнезе абортов, инфекционно-воспалительный процесс в малом тазу.

Каковы симптомы гиперплазии?
Симптоматика — обильные, длительные, часто болезненные менструации, которые могут переходить в кровотечение, приводящее к анемии. Характерно их чередование с задержками менструации до нескольких месяцев.
В чем опасность гиперплазии?
Это заболевание, которое в силу описанных в прошлом абзаце симптомов осложняет жизнь женщины. Гиперплазия может трансформироваться в рак эндометрия. Кроме того, заболевание является одной из причин бесплодия и невынашивания беременности.
Как гинеколог ставит этот диагноз?
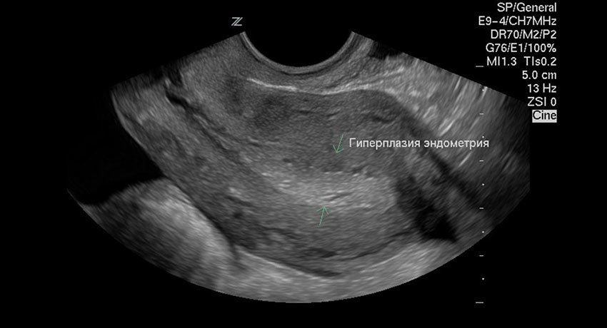
Скрининговый (общедоступный, безопасный) способ диагностики патологии эндометрия — ультразвуковое исследование. Кроме того, при подозрении на нее врач берет аспирационную эндометрия (тонким инструментом из полости матки берется фрагмент эндометрия и отправляется на гистологическое исследование. Процедура совершенно безболезненна).
Что делать, если у Вас обнаружили гиперплазию?
Основной способ лечения — хирургический (раздельное диагностическое выскабливание цервикального канала и полости матки). Лечение гормональными средствами допустимо только у девушек подросткового возраста. Иногда приходится ставить вопрос об удалении матки.
Как проводят выскабливание?
Операция проводится в стационарных условиях под общим обезболиванием (внутривенный наркоз). Врач вводит в полость матки специальную камеру (гистероскоп) и осматривает ее. Далее под контролем зрения проводится выскабливание эндометрия. Есть ли альтернатива? Есть. Лазерная абляция, криодеструкция или прижигание эндометрия. Также проводится в стационаре под общим обезболиванием. При этом «плохой» эндометрий уничтожается одним из перечисленных способов.

Что дальше? Удаленный материал отправляют на гистологическое исследование, где будет точно определен вид полипа и исключена злокачественность. Длительность пребывания в стационаре обычно составляет не более 1 суток. Врач назначает Вам лечение и назначает сроки для контрольного осмотра (обычно через 3 и 6 месяцев).
В каких случаях рекомендовано удаление матки? Атипическая гиперплазия в постменопаузе, рецидивирующая гиперплазия в постменопаузе, рецидивирующая гиперплазия в сочетании с другими гормонозависимым заболеваниями (миома матки, эндометриоз).