Жидкость в легких
Легочная ткань содержит большое количество крошечных мешочков – альвеол. В них происходит газообмен, собственно процесс дыхания.
Снаружи легкие покрыты тонкой пленкой – легочной плеврой. Они находятся в грудной клетке, поверхность которых также выстилает плевра, она называется париетальной. Между двумя слоями плевры есть небольшой зазор, он называется плевральной полостью.
Жидкость может скапливаться как в альвеолах легких, так и в плевральной полости. В первом случае это отек легких, во втором случае – гидроторакс.
Скопление жидкости в легких может произойти стремительно, иметь острую форму или нарастать, прогрессировать в течение длительного времени.
Онкологические причины
Причиной отека легких или гидроторакса у онкологических больных бывает как само раковое заболевание, так и его лечение.
Например, скопление жидкости и отек легких может произойти вследствие химиотерапии токсичными препаратами, угнетающими работу сердца, или как осложнение лучевой терапии. С другой стороны, работа сердца может быть нарушена опухолевым процессом.
Еще одна возможная причина – нарушение работы лимфатической системы из-за поражения лимфоузлов метастазами или прорастания раковой опухоли.

Чаще всего скопление жидкости происходит при раке легкого, молочной железы, яичника, желудка, тела и шейки матки, при меланомах, лимфомах, саркомах, лейкемии.
При злокачественной опухоли плевры (мезотелиоме) повышается проницаемость сосудистой стенки капилляров. Жидкость из крови активно поступает в легкие, а ее откачка лимфатической системой, напротив, ухудшается. В результате возникает застой и скопление жидкости.
Возможны и другие причины, например, сдавление сердца опухолью, прорастание опухоли в верхнюю полую вену, образование метастаза в перикарде, прорастание опухоли в просвет бронха и его перекрытие.
Для онкологических заболеваний характерно постепенное, небыстрое развитие гидроторакса и отека легких.
Не онкологические причины
Из бронхов через их разветвления, бронхиолы, в альвеолы легких поступает воздух. С другой стороны их оплетают капиллярные сосуды, имеющие тонкую стенку. Через нее из крови в альвеолу выделяется углекислый газ, а в кровь поступает кислород.
Частой причиной скопления жидкости в легких служит сердечная недостаточность и повышенное давление (гипертензия), которое «выдавливает» жидкость через сосудистую стенку в полость альвеолы. В свою очередь сердечная недостаточность может быть следствием инфаркта.
Другие возможные причины – заболевания печени (цирроз), почек (почечная недостаточность), бронхиальная астма, сахарный диабет, пневмония, туберкулез, плеврит, травма, ушиб легкого, тромбоэмболия, интоксикация.
Почки отвечают за выведение жидкости из организма. При нарушении их работы возникают отеки, жидкость скапливается в разных частях тела, в том числе в легких.
Симптомы
Один из самых характерных симптомов скопления жидкости в легких – одышка. Сначала она возникает при физических нагрузках, затем и в покое.
Одышка сопровождается чувством нехватки воздуха, учащенным дыханием, удушьем, слабостью, страхом смерти, ощущением неполного расправления легких при дыхании, недостаточного наполнения их воздухом.
В положении лежа симптомы обычно усиливаются. Острый приступ удушья может стать причиной смерти.
Недостаточность дыхания приводит к кислородному голоданию, гипоксии – побледнению и посинению кожи (цианозу) головокружениям, потемнению в глазах, обморокам, головным болям.
От недостаточности дыхания страдает нервная система, головной мозг, психика, появляются беспокойство, нервозность, тревожность, онемение в руках или ногах.
Из-за скопившейся жидкости увеличивается вес тела. В зависимости от наличия или отсутствия воспалительного процесса, температура тела может быть повышенной или пониженной.
Низкая температура тела – специфический признак скопления жидкости в легких.
Другие симптомы – боль в легком (обычно внизу или сбоку), упорный, надсадный сухой кашель с выделением вязкой слизи с сукровицей, чувство сдавления, тяжести в груди, потливость (особенно ночью)
Диагностика
На первичном приеме врач проводит осмотр (при дыхании правая или левая сторона грудной клетки может запаздывать), простукивает, прослушивает пациента фонендоскопом.
Цель диагностических исследований – установить не только факт и степень тяжести отека легких и/или гидроторакса, но и его причину.
Сделать это помогают биохимический анализ крови, анализ на содержание газов в крови, свертываемость.
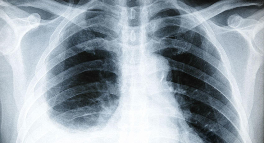
С помощью рентгена можно хорошо увидеть скопление жидкости, оценить ее объем, обнаружить опухоль, поражение лимфоузлов.

Более подробную, дополнительную информацию дает компьютерная и магнитно-резонансная томография (КТ, МРТ), УЗИ грудной клетки.
Для подтверждения или исключения онкологического заболевания выполняется пункция или биопсия с последующим морфологическим исследованием (цитологическим, гистологическим). В первом случае делается забор жидкости из плевральной полости, во втором – фрагмент ткани плевры.
Лечение
Если причиной скопления жидкости послужило не онкологическое заболевание, применяется медикаментозная терапия мочегонными препаратами (диуретиками), сердечными, противовоспалительными препаратами, антибиотиками, бронхорасширяющими, отхаркивающими и другими средствами по показаниям.
При злокачественных опухолях применение таких препаратов может иметь симптоматический характер, или они применяются для лечения сопутствующих заболеваний. В качестве основных лечебных средств используется химиотерапия или хирургическая операция.
Плевроцентез – откачивание жидкости из плевральной полости. В грудной стенке делается прокол тонкой иглой, после этого через трубку выполняется откачка выпота с помощью электроотсоса.
Процедура выполняется под местной анестезией. Она дает быстрый эффект, облегчает состояние, но через некоторое время жидкость вновь скапливается, гидроторакс возобновляется, и это требует повторения плевроцентеза.
Чтобы избежать повторных проколов грудной стенки в ней устанавливается порт-система, соединенная дренажной трубкой с плевральной полостью. При скоплении жидкости порт открывается, и выпот откачивается электроотсосом.
Интраплевральная порт-система позволяет не только откачивать скопившуюся жидкость, но и вводить препараты в плевральную полость.
Плевродез - введение в плевральную полость склерозирующих веществ, которые склеивают грудную и париетальную плевру. После этого жидкости становится негде скапливаться. Обычно плевродез выполняется после откачки выпота (плевроцентеза).
При онкологических заболеваниях для плевродеза используются химиопрепараты, которые оказывают цитостатическое действие и одновременно склеивают плевральные лепестки.
Наряду с цитостатиками в клиниках, представленных на портале Докио, применяются иммуномодуляторы, которые воздействуют на раковые клетки и могут давать хорошие результаты при проведении плевродеза.
Удаление плевры при онкологических заболеваниях в нашей клинике, как правило, выполняется лапароскопическим методом, посредством малоинвазивной операции.
Торакоскоп с видеокамерой и хирургические инструменты вводятся через проколы. Это позволяет избежать разрезов, уменьшить травмирующее воздействие.